最新最全のをすべて 歯科矯正学 第7版/医歯薬出版株式会社 歯科矯正学 ※裁断済み 第7版 健康・医学
(3107件)
Pontaパス特典
サンキュー配送
6150円(税込)
62ポイント(1%)
Pontaパス会員ならさらに+1%ポイント還元!
送料
(
)
3102
配送情報
お届け予定日:2026.04.17 15:51までにお届け
※一部地域・離島につきましては、表示のお届け予定日期間内にお届けできない場合があります。
ロットナンバー
21619196286
お買い物の前にチェック!
Pontaパス会員なら
ポイント+1%
ポイント+1%
商品説明
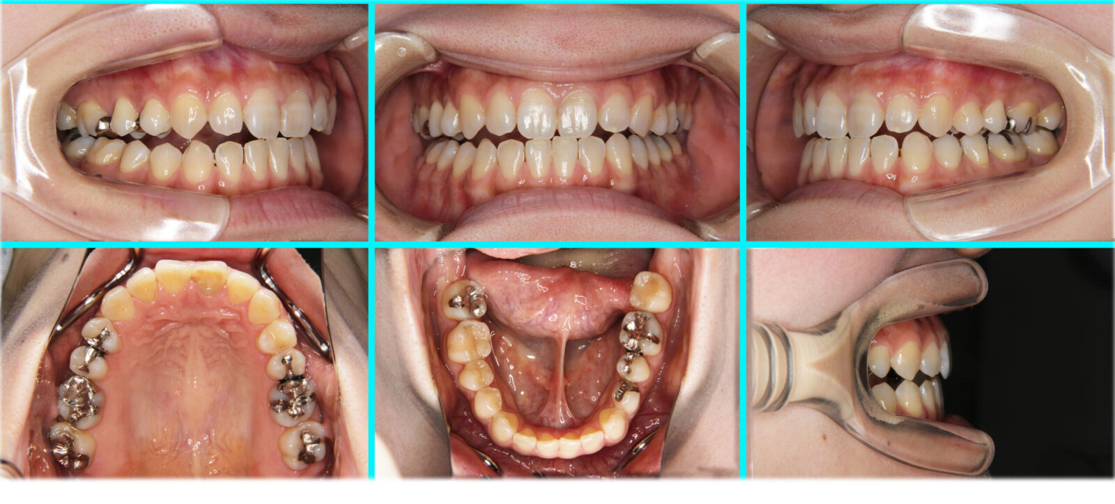
歯科矯正学 第7版/医歯薬出版株式会社。歯科矯正学 第7版 | 後藤 滋巳, 齋藤 功, 西井 康, 槇 宏太郎, 森山。ブラケット矯正開始~終了(叢生症例) | 世田谷区桜新町 「桜新町。「歯科矯正学 第7版」後藤 滋巳 / 森山 啓司 / 槇 宏太郎 / 齋藤 功 / 西井 康 / 山城 隆定価: ¥ 14000裁断後1度スキャンしたものになります。。斜めに倒れた歯を起こせば、抜歯せずに矯正できる【東京都世田谷区 桜レビュー
商品の評価:




4.3点(3107件)
- ノボ3399
- 小学校で、図書注文用紙をもらって来て、欲しい本は、楽天ブックスで検索します。ほぼ、同じ値段で、注文後、直ぐ届きます。 このシリーズは3冊目。本を読んで知らなかった情報を得ると、再度お話を観る時に、違った発見が楽しめます。娘と一緒に楽しんでます。
- 寅好さん
- これはすごい! 主人も私も中を見てビックリ!娘はもちろん大喜びなんですが私が見てもこれが結構楽しい。 購入して大正解です。まだ下に娘がもう一人いるのでまだまだこれから大活躍間違いなしの本になりそう♪
- nobu1710
- 2歳4ヶ月の息子のXmasプレゼントに購入。まだ渡していないですが、多分理解するには難しいとは思います。ただ理解しはじめた虫や動物、魚とおままごとや毎日の食事が少しでも繋がっている事をなんとなくでも感じて欲しいなと思って購入。親の自己満足ですが、優しい子になって欲しいなという願いを込めて。 数年かけて理解してくれたら良いなと思います。 また、息子が同作者のうしろにいるのだあれシリーズが大好きで私が読みたくてと言うのも購入の大きな理由でした!笑
- xミカエリスx
- 参加型で絵がわかりやすいのがいいですね。
- tenjin-mutsumi
- 医療系の職業につきたいので、筋肉、骨の名称を覚えるのに役立つと思い購入しました。開く絵本になっていて、楽しく学ぶことができそうです。 他のレビューを見ると、子供用に買っている人も多いですね。
- kk23813
- 2歳4ヶ月の息子にXmasを楽しみにしてもらいたくて購入しました!ぐりとぐらシリーズが初めてだったのではじめは本を見つけても興味を示しませんでしたが、数日後にまた読んでみる?と誘ったら興味を示し最後まで読んでくれました! 文章が多いので、読み終わる前に次のページをめくってしまいますがこれからたくさん読んでくれると良いなと思います^_^
- むっちゃん2024
- クリスマスプレゼントに購入しました。とても綺麗な商品でした。想像より重たいので小さい子は持ちづらいかと思います。
- うめ5665
- 子供の為に購入しました。 以前からこのシリーズの絵本を集めていて、 色使い、ページのめくり易さから、 子供自身扱いやすそうなのがおすすめです。
- mani7701
- 1歳10か月の息子が喜んで見ています。車やたくさんのパンやフルーツの絵がお気に入りのようです。
- かぷがじ
- 購入した当初はちょうど2才になったころでした。その当時から楽しんでいましたし、3歳の今でも十分楽しんでいます。答えは簡単ですぐにわかる(覚えている)のですが、絵のタッチと発見することの楽しさは何回読んでも飽きません。
- おくの
- クリスマスプレゼントに購入しました。とても綺麗な商品で良かったです。サイズがとても良いです
- kazu256
- 最近お姉ちゃんになった3歳の娘のお気に入りです。ちょびっとだけ読んで〜と私のところにもってきます。
すべて見る
お店の情報
7,367
連絡・応対
4.3
配送スピード
4.3
梱包
4.3










